
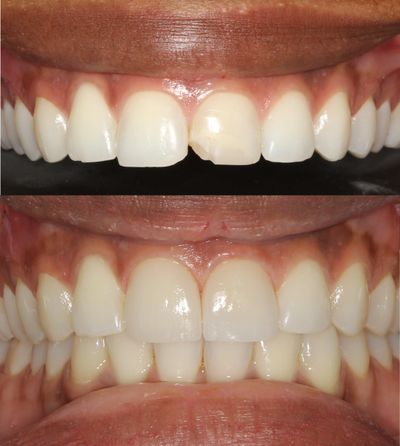
When performing cosmetic dentistry in Garden City, Dr. Patella can use a combination of treatment modalities to achieve the desired results. In the case to the left, Dr.Patella treated the patient with Invisalign and porcelain veneers to transform her smile.
"I had a discolored capped front tooth . I went to Dr Patella to get it fixed. Dr Patella looked at my entire smile not just my cap that needed to be fixed.
He straightened and fixed both of my front teeth. The end result was stunning. He took so much time and care to ensure the teeth and color were perfect. I am so grateful for what he has done for me he treated me like I was a member of his family. The end result was spectacular. Every time I look in the mirror I have a reason to smile, my beautiful teeth..."

Here is another example of how we can transform a smile using porcelain veneers.
"Dr. Patella has been my dentist for many years now. He is incredibly reliable, professional, timely, and courteous. I have never left his office dissatisfied, and has always been available for emergencies. I’ll only entrust my smile to Dr. Patella! "