
Invisalign® takes a modern approach to straightening teeth, using a custom-made series of aligners created for you and only you. These aligner trays are made of smooth, comfortable and virtually invisible plastic that you simply wear over your teeth.
Wearing the aligners will gradually and gently shift your teeth into place, based on the exact movements Dr. Patella plans out for you. There are no metal brackets to attach and no wires to tighten. You simply pop in a new set of aligners approximately every week, until your treatment is complete and you achieve the confident smile that you've always wanted.
The best part about the whole process is that most people won't even know you're straightening your teeth.
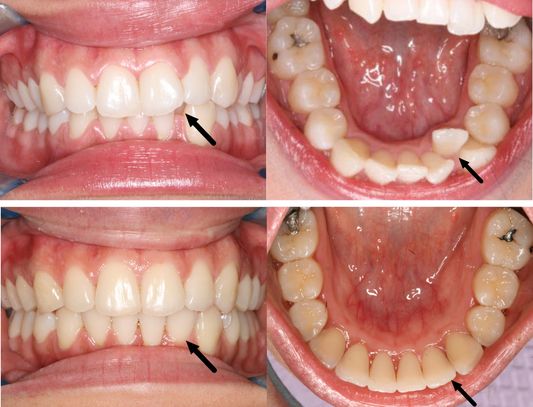
Look at the arrows in the photos below. The top right photo shows a tooth that is positioned far behind the other teeth. The bottom right photo shows the same tooth in the correct alignment.
